Само слово дисплазия означает недоразвитие или нарушение развития.
Дисплазия тазобедренного сустава (ДТС) — достаточно распространенное заболевание, особенно среди собак крупных быстрорастущих пород. Однако, оно встречается и у английских спрингер спаниелей.
Дисплазия тазобедренного сустава — это полигенно наследуемое заболевание, характеризуется потерей соответствия между суставными поверхностями и ведущее к возникновению вывиха или артроза. ДТС представляет собой уплощение вертлужной впадины и последующее деформирование головки бедренной кости, выраженное в большей или меньшей степени. Заболевание сопровождается сглаживанием вертлужной впадины, недостаточным покрытием головки бедра верхним краем впадины и как следствие разболтанностью сустава, что позволяет головке бедра выскальзывать из впадины частично или полностью. При этом головка бедра, непрерывно выскальзывая, повреждается, стирается до расплющенной поверхности и возникает уплощенный тазобедренный сустав, что наиболее близко соответствует картине подвывиха.
Следующей причиной является нарушение формирования проксимального отдела бедра (т.е. деформации головки), что снова приводит к дисплазии тазобедренного сустава. Кроме того, к ДТС ведут эктонические изменения в анатомической структуре поясничных позвонков: сакрализация (лат. sacralisatio) - сращение последнего поясничного позвонка с крестцовой костью, вызванное изменением его поперечных отростков, или люмбализация (лат. lumbalisatio) - аномалия развития, отделение первого крестцового позвонка от остальной массы крестца.


До сих пор ведутся споры, но большинство специалистов предполагают, что на развитие болезни оказывают влияние различные факторы: генетика, условия выращивания и содержания, чрезмерное питание, травмы. ДТС является классическим примером количественного признака, обусловленного многими генами (полигения), и в данном случае многие факторы среды влияют на конечный результат формирования и проявления признака. Следует иметь в виду, что эта патология может передаваться через 14 поколений. При спаривании "дефектных" родителей, увеличивается в 2 раза вероятность получения больных потомков.
Степень разрушения дисплазийных суставов зависит от определенных условий в период активного роста собаки, а также формируется в течение всей последующей жизни. Причем часто проявление дисплазии у собаки бывает трудно предугадать. Пример: у собаки со степенью дисплазии «D» не наблюдается никаких внешних признаков заболевания, если отсутствуют факторы, способствующие ее проявлению (только проявлению, но не созданию). В тоже время существуют особи, у которых даже при тяжелой форме дисплазии не наблюдается признаков патологии до среднего и старшего возраста. Это происходит достаточно часто. Также надо знать, что два щенка из одного помета (имеющие одинаковые генетические предрасположенности), но находящиеся в разных условиях жизни могут иметь разную клиническую картину патологии. Кстати, этот факт часто используют для опровержения диагноза, как аргумент не в пользу генетической предрасположенности, но на самом деле оба щенка находились в естественных условиях, но с разными условиями питания и нагрузок.
Первые клинические признаки заболевания отмечаются в возрасте между 4-12 месяцами и включают сниженную двигательную активность, хромоту, усиливающуюся после нагрузки, качающуюся и неустойчивую походку, трудности при подъемах и прыжках. Грудные конечности развиваются интенсивней, иногда развивается гипертрофия мышц передних конечностей, так как основная нагрузка переходит на них, щадя тазовые. В задних конечностях отмечается тугоподвижность сразу после вставания, боли при манипуляции с бедром, ощущение крепитации (звуки трения при вращении) тазобедренного сустава. Часто у щенка видна плохо развитая задняя часть тела, он еле стоит на ногах после небольшого напряжения. Настораживающим симптомом должно служить слабое развитие мышц тазовых конечностей и крупа, боязнь движений приводящих к повороту головки бедра. Первые признаки проявляются в период роста (8 недель до 10 месяцев) животного. Течение болезни может быть незамеченным до 3 месяцев жизни щенка, позже клиническая картина характеризуется перемежающейся хромотой то на одну, то на другую конечность, собака чаще лежит, поднимается с трудом, неохотно, с напряжением ходит по лестнице, проявляя симптомы боли в конечностях. В этом случае развивается избыточное давление на верхний передний край вертлужной впадины, действующее весь период развития сустава. Следствием этого являются: острый синовит (воспаление оболочки сустава); потеря хрящевой ткани сустава; микротрещины по краю вертлужной впадины; остеофитоз (костные разрастания поверхности сустава); деформация головки и шейки бедра; гипертрофия суставной капсулы. В более поздней стадии болезнь вызывает атрофию ягодичных мышц, в суставах прогрессирует дегенеративный с элементами воспаления процесс.
Клинически уловимые, выраженные фазы ДТС быстрее всего проступают в возрасте от 1.5-2 лет. Собаки в возрасте 4-5 лет имеют уже затвердевшие соединительнотканные наросты в тазобедренных суставах. Все эти изменения вызывают боль и дискомфорт, а в конечном итоге подвывих и даже вывих сустава.
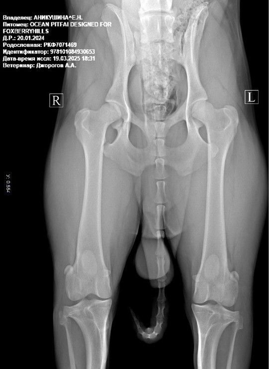
Выраженность клинических симптомов зависит от глубины деструктивных изменений и не во всех случаях дает основание для постановки диагноза. Для уточнения стадий диспластического процесса проводят рентгенологическое обследование больных, которое с высокой степенью информативности позволяет сделать заключение о структурно-функциональном состоянии тазобедренных суставов.
Рентгенографическая диагностика на дисплазию тазобедренного сустава достоверна на 70% в возрасте до одного года, и на 95.4% — до двух лет.
Это делается по общим наркозом, вытягивая собаку на столе, при этом растягивая и выворачивая внутрь ее задние ноги. Эту процедуру невозможно сделать без наркоза. Даже самые послушные собаки инстинктивно начинают сопротивляться, когда им тянут и выворачивают ноги, для этого и используется наркоз, чтобы мышцы были полностью расслаблены. Также как у человека, у собак существует риск при даче наркоза, но до сих пор ни одно животное не погибло при проверке на дисплазию.
1 июня 1999 года на генеральной ассамблее FCI был рассмотрен вопрос о проверке на дисплазию в странах FCI. Как указал руководитель научной комиссии FCI Вильгельм Брасс, комиссия приняла решение о приведении всех сертификатов по дисплазии к единым критериям и обозначениям, чтобы информация была понятна во всех странах FCI. Цель проверки на дисплазию - достичь, чтобы это стало понятно всем собачникам. FCI приняло следующие обозначения и их пояснения:
ДИСПЛАЗИЯ ТАЗОБЕДРЕННЫХ СУСТАВОВ
Степень А - нет признаков дисплазии
Степень В - конфигурация суставов близка к нормальному состоянию
Степень С - легкая дисплазия тазобедренных суставов
Степень D - средняя дисплазия тазобедренных суставов
Степень Е - тяжелая дисплазия тазобедренных суставов
ДИСПЛАЗИЯ ЛОКТЕВЫХ СУСТАВОВ
Степень 0 - нормальные локтевые суставы
Степень 1 - минимальный артроз
Степень 2 - легкий артроз
Степень 3 - тяжелый артроз